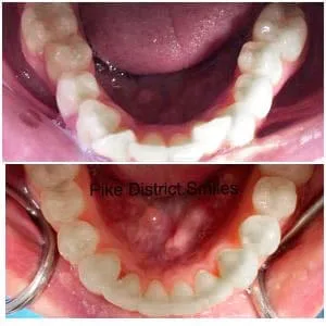
Get the smile you’ve always wanted with Pike District Smiles. Dr. Samia Nikkhah and her team at Pike District Smiles are among the leading providers of the Invisalign in Rockville, Maryland. From minor corrections to more extensive support, Dr. Nikkhah is adept at utilizing Invisalign technology to transform smiles. Are you struggling with misaligned teeth and an uneven bite? Invisalign may be the best option to correct the alignment of your teeth. Invisalign is a revolutionary technology that utilizes a set of clear dental retainers to straighten teeth – also know as clear braces or invisible orthodontics.
Invisalign pioneered this process in 1999 and has successfully treated hundreds of thousands of patients wanting to straighten their smiles. Although there are competitors, Invisalign is the name brand for discreet, effective invisible braces. Their research and development has lead to many new advancements in smile correction systems and sets them above the rest. Invisalign treatment times vary, but the average span is 12 months and requires a few short dental office visits. Dr. Nikkhah is ready with the experience and skill you need to determine whether or not Invisalign in Rockville, Maryland is the best smile correction option for you.




