Before & After dental transformations
Before & After dental transformations
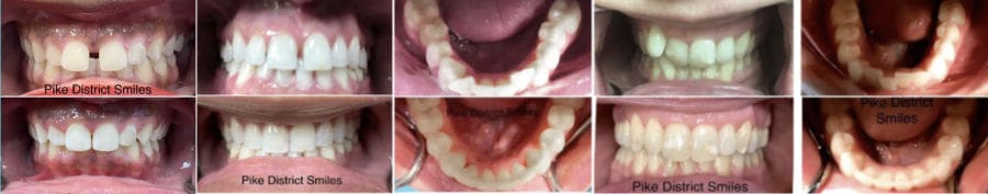
We’re dedicated to giving our patients beautiful smiles for a lifetime – brightening smiles, restoring or replacing teeth and straightening uneven teeth. Take a look at the amazing Before & After dental transformations we produce for our patients.
We’re dedicated to giving our patients beautiful smiles for a lifetime – brightening smiles, restoring or replacing teeth and straightening uneven teeth. Take a look at the amazing Before & After dental transformations we produce for our patients.
Teeth Whitening

Dental Veneers

Invisalign

Dental Crowns
